PICA MRI 0,35T
Il sistema PICA MRI è il nostro prodotto di punta con la sua architettura aperta unica, la piattaforma hardware avanzata e le applicazioni cliniche all’avanguardia lo rendono ideale per il comfort del paziente, tempi di acquisizione rapidi ed eccellente qualità dell’immagine.
Il PICA ha superato tutti i requisiti di accreditamento ACR di 4 moduli MRI: testa, colonna vertebrale, corpo e MSK.
L’esame MRI di 20 minuti della scansione cerebrale del PICA è un esempio del nostro impegno nel fornire valore, prestazioni e innovazione.
- Sistema di risonanza magnetica per tutto il corpo 0,35 t
- Gradienti forti per l’acquisizione di immagini ad alta risoluzione
- Completamente privo di elio
- Economico con costi operativi inferiori
- Rumore acustico inferiore
- Risonanza magnetica ad architettura aperta per pazienti fino a 200 kg

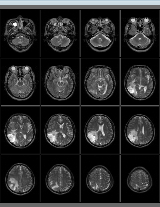
Neuro Imaging
La Neuro suite fornisce protocolli di scansione ottimizzati con alta risoluzione, alta qualità d’immagine ed elevato rapporto segnale rumore per facilitare la diagnosi.

Body Imaging
La Body Suite è specializzata in esami clinici addominali e total body.

MSK imaging (imaging muscolo scheletrico)
Ortho Suite fornisce un’ampia varietà di protocolli ottimizzati per l’imaging degli arti.
Gradienti più forti con 33mT/m e una velocità di risposta di 90 T/m/s, superando sistemi sotto 1,5T. Ampia gamma di applicazioni cliniche come ce-MRA, separazione del grasso e dell’acqua DIXON, DWI e mappa ADC.
Flussi di lavoro clinici semplificati con PRODIVA durante la preparazione del paziente, la scansione e la gestione dei dati.
Bobine HTS per un’elevata qualità del segnale (SNR) e tempi di scansione ridotti, aumentando la produttività.
Open MRI con magnete a doppio polo per il massimo comfort di tutti i pazienti.




FUORI/DENTRO 2000 mm

SU/GIU’ 200 mm

DESTRA/SINISTRA 120 mm

Posizionamento dispositivo laser +/- 1 mm di precisione
Time Medical (TM) mira all’eccellenza scientifica, tecnologica e clinica globale per sviluppare i sistemi di risonanza magnetica più affidabili e accurati al mondo per la diagnosi precoce delle principali malattie.
Gradienti Più Forti – con 33mT/m e una velocità di risposta di 90 T/m/s, PICA è ineguagliato da qualsiasi sistema sotto 1,5T.
Ampia Gamma di applicazioni cliniche tra cui: ce-MRA, DIXON Fat & Water Separation, DWI & ADC map.
Bobine HTS offrono un maggiore SNR (per unità di tempo), consentendo tempi di scansione ridotti e un’elevata produttività del paziente.
Open MRI è dotato di un magnete a doppio polo che offre il massimo comfort per tutti i pazienti.
Sistema magnetico
– Tipo: Permanente, Shimming attivo
– Materiale: Neodimio Ferro Boro (NdFeB)
– Forza del campo: 0.35 Tesla
– Apertura: 400 mm
– Campo disperso: 5 linea Gauss 2,5 massiale x 2,5 m radiale.
– Dimensioni con il telaio: 2260 x 2740 x 1996 mm (L x W x H)
– Stabilità di campo: < 0,2 ppm/hr
– Peso del magnete: 17,200 kg / 37,840 lbs
Sistema gradiente
Ampiezza: 25 mT/m
– Tempo di salita: 0.50 ms
– Velocità di risposta: 50 T/m/s
Aggiornabile a:
– Ampiezza: 33 mT/m
– Tempo di salita:0.37 ms
– Velocità di risposta:90 T/m/s
Sistema RF
– Frequenza: 15 MHz ± 200 kHz
– Potenza RF: 6000 W di picco rms, 600 W di media
– Immagine BW: 4 kHz – 100kHz
– Cifra di rumore del pre-amplificatore < 0,5 dB
– Pre-amplificatore integrato in tutte le bobine di ricezione
– Riconoscimento automatico della bobina ricevente
– 2 canali standard, aggiornabile a 8 canali
Bobine di ricezione RF
– Bobina Quad testa
– Bobina Quad collo
– Bobina Quad spalla*
– Bobina Quad polso*
– Bobina Quad Body/Spine (S/M/L/XL*/XXL*)
– Bobina Quad ginocchio
– Bobina Quad piede/caviglia*
* Opzionale
Sistema / Alimentatori
– Raffreddamento: Raffreddamento ad aria con ventole interne
– Carico termico di raffreddamento: 2,8 kW – 5,85 kW
– Tensione di linea: 380 VAC trifase, neutro ± 10%
– Requisiti di alimentazione AC: 63A / 42kVA
– Dimensioni (LWH): 910 x 610 x 1735 mm / 670 x 820 x 970 mm
– Peso dell’unità: 426 kg (939 lbs) / 390 kg (860 lbs)
Tavolo per il paziente
– Dimensioni: 2600 x 800 x 780 mm (L x W x H)
– Movimento IN/OUT – 2000 mm
– Movimento DESTRA/SINISTRA – ±120 mm
– Movimento SU/GIÙ – 200 mm
– Altezza minima da terra – 550 mm
– Capacità di carico – 200 kg / 440 lbs
Sistema informatico
– Host Computer: PC DellTM basato su Windows
– OS: Microsoft Windows
– Software di imaging: Piattaforma Prodiva RM con Tecnologia Flow del paziente
– Archivio dati: DVD-RW 4.7 GB
– Display: 24″ HD LCD Monitor
– Trasferimento e gestione dei dati (HIS/RIS): DICOM 3.0
– Supporto di stampa: Stampa DICOM, tutte le stampanti Windows e PDF
Ricostruzione dell’immagine
– Ricostruzione multithreaded
– 2D > 1000 immagini/s, 256 x 256
– 3D > 200 piani/s, 256 x 256 x 64
Sequenze di impulsi
– SE 2D & 3D
– GRE 2D & 3D
– FLASH 2D & 3D
– FSE 2D
– FSE 3D / HASTE
– FLAIR 2D
– Fast-FLAIR 2D
– STIR 2D
– IR-FSE 2D (T2 STIR, PD-STIR)
– MRA-TOF 2D & 3D
– MRV-TOF 2D
– 3PT DIXON SE 2D*
– 3PT DIXON GRE 2D*
– SE-DWI 2D*
* Opzionale
Parametri di imaging
– Matrice di fase minima/massima: 64 / 512
– Matrice di frequenza minima/massima: 64 / 512
– Matrice di ricostruzione massima: 1024
– Larghezza di banda: 4 kHz – 100 kHz
– FOV rettangolare (incremento in % in FOV completo): 0.1%
Visualizzazione delle immagini
Caratteristiche: Visualizzazione con auto Window/Level, panoramica, zoom, rotazione, capovolgimento, visualizzazione di immagini multiple, ROI, annotazione, misurazioni, mappatura dei colori, analisi delle immagini, riformattazione, MIP in tempo reale, CINE, viewport multiplo.