Romexis

Software dentale all-inone

Piattaforma aperta e compatibile

Usabilità superiore

Collaborazione flessibile

Cresce insieme al tuo studio

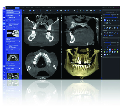
Romexis è un software versatile che gestisce immagini 2D e 3D, casi CAD/CAM e altro ancora in un unico database. Gli strumenti specializzati, il monitoraggio in tempo reale e la connettività con le apparecchiature di Planmeca ottimizzano l’efficienza di Romexis.

Supporta l’integrazione per importare ed esportare immagini 2D e 3D nei formati standard del settore come JPEG, DICOM e STL. Basato su Java, è compatibile con macOS e Windows.

Completo per cliniche odontoiatriche, con immagini 2D e 3D accessibili, trattamenti sicuri e di alta qualità. Flussi di lavoro ottimizzati, interfaccia intuitiva e tutorial dettagliati.

Una piattaforma software in rete per l’accesso immediato a immagini e piani di trattamento da diverse workstation. Garantisce trattamenti di alta qualità e sicurezza con autorizzazione e registrazione delle azioni eseguite nel software.

Romexis è flessibile per adattarsi agli studi odontoiatrici. Personalizza il software, aggiungi utenti e moduli. Supportiamo la transizione da 2D a 3D con pianificazione CAD/CAM. Oltre 100 aggiornamenti offrono innovazioni odontoiatriche all’avanguardia.
Ottimizzano le attività quotidiane e migliorano la comunicazione con il paziente
Il software Planmeca Romexis® è stato integrato con nuovi strumenti per l’imaging 2D e 3D che sfruttano il potenziale dell’intelligenza artificiale. Gli strumenti utilizzano l’IA per generare proposte, ma la responsabilità definitiva della decisione rimane sempre in capo al medico. Grazie alla visualizzazione dei casi in modo più accurato che mai, questi strumenti aiutano a risparmiare tempo ai medici e a promuovere l’educazione e la comunicazione con i pazienti.
Romexis® Smart è una funzionalità opzionale disponibile per il modulo di imaging 3D Romexis. Segmenta e riconosce automaticamente anatomie come il cranio, i tessuti molli, i denti, i nervi, le arcate, le vie aeree e i seni paranasali. Con l’introduzione di questa nuova funzionalità, l’utilizzo del software risulta ancora più agevole e rapido, e la visualizzazione delle anatomie lo rende un ottimo strumento per la comunicazione con i pazienti.
L’IA aiuta a risparmiare tempo nella pianificazione degli impianti e nella progettazione delle guide impianto poiché le immagini CBCT e le scansioni intraorali vengono adattate automaticamente. Romexis Smart ottimizza anche il flusso di lavoro della chirurgia CMF: la segmentazione automatizzata dell’arcata, il rilevamento dei nervi e l’adattamento delle immagini CBCT e delle scansioni intraorali generano un risparmio di tempo e consentono ai chirurghi di concentrarsi sulla pianificazione dell’intervento.
Il software Romexis mette inoltre a disposizione un altro strumento avanzato basato sull’IA, opzionalmente disponibile per il modulo di imaging 2D.
Grazie alla collaborazione tra Planmeca e Pearl, leader mondiale nelle soluzioni di IA per l’odontoiatria, gli utenti di Romexis possono ora beneficiare dell’integrazione senza soluzione di continuità con il servizio di assistenza alla rilevazione radiologica Second Opinion® di Pearl e ricevere le rilevazioni dell’IA create dal servizio direttamente in Romexis.
L’analisi automatica delle immagini 2D per le radiografie panoramiche e intraorali offre un secondo paio di occhi, che possono aiutare i dentisti a effettuare diagnosi più precise. L’analisi dell’IA contribuisce a identificare i segni di svariate patologie dentali e di altre malattie trattabili individuate nelle radiografie dentali, compresi i problemi di difficile individuazione come le carie incipienti o i primi segni di radiotrasparenza periapicale. Ciò consente di effettuare interventi tempestivi e ottenere benefici per la salute a lungo termine grazie a una maggiore fidelizzazione dei pazienti.
Articoli della stessa categoria
Ideale per l’ortodonzia grazie al suo protocollo di imaging dei bracci. Le immagini acquisite con...
L’ultimo arrivato nellanostra famiglia di unità 3D, offre una vasta gamma di dimensioni dei volumi...
Rispetta una moltitudine di requisiti diagnostici e fornisce dimensioni dei volumi per ogni applicazione clinica:...
TC Cone beam Planmeca VISO: Il sistema radiografico a raggi X CBCT per l’imaging dentale...